News

 SCAI President Srihari S. Naidu, MD, professor of medicine at New York Medical College, explained some of the key payment issues interventional cardiologists are facing amid declining Medicare reimbursements.

SCAI President Srihari Naidu, MD, detailed some of the challenges interventional cardiologists face as reimbursements keep declining. The group has been building new partnerships with other medical societies to strengthen its influence in Washington. 

Thumbnail

First-in-human data suggest the therapy, CTX310, could be a breakthrough for patients with lipid disorders.

artificial intelligence AI heart cardiology

Researchers put an advanced AI model to the test, using it to evaluate the ECG results of more than 1,000 patients. It performed quite well. 

Stereotaxis GenesisX

GenesisX represents the company’s most accessible robotic system to date. It requires no room shielding or structural anchoring, for example, and the size has been significantly reduced.

Sahil Parikh, MD, director of endovascular services, Columbia University Irving Medical Center, associate professor of medicine at Columbia University, and a program director for the Transcatheter Cardiovascular Therapeutics (TCT) meeting, explains the growing focus in interventional cardiology on endovascular procedures for stroke, pulmonary embolism, peripheral artery disease and renal denervation.

Sahil Parikh, MD, said it was clear at TCT 2025 that the specialty is getting more and more involved with endovascular procedures for stroke, pulmonary embolism and peripheral artery disease.

Robert H. Bartlett, MD

Robert H. Bartlett, MD, was a pioneer surgeon who helped develop the world's first ECMO technology. He died at the age of 86 following a long illness. 

HeartFlow Plaque Analysis Example

Researchers tracked data from nearly 8,000 patients evaluated with Heartflow's FDA-cleared Plaque Analysis software. Overall, the technology's Plaque Staging feature was found to provide significant value during the diagnosis and management of these patients.

Thumbnail

The new drug from Merck was linked to several benefits for patients who are already on statins. If an oral PCSK9 inhibitor gains FDA approval, it could be a game-changer for the field of preventive medicine. 

Despite the Russian invasion, many Ukrainian cardiologists are staying behind to treat patients.

Thumbnail

The new meta-analysis, published in the American Journal of Cardiology, includes data from 16 different studies. 

Doctor patient with masks

Researchers examined data from more than 235,000 hospitalized patients treated in the United States.

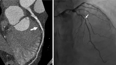
An example of a noninvasive coronary CT scan on the left and an invasive angiogram of the same patient on the right from a recent RSNA study. The CT shows more information on the calcified nature of the plaque and shows more anatomical information beyond what the angiogram provides.

The new analysis focused on data from 16 different European countries. 

Around the web

Researchers recently used advanced 4D flow MRI to track blood in a pulsating artificial heart, revealing dynamics that closely mirror those of a healthy human organ.

Congress needs to act soon to extend telemedicine services that were greatly expanded under COVID provisions, or they will expire by October. Anders Gilberg, senior vice president of government affairs at the Medical Group Management Association, explains concerns raised by doctors and lawmakers.

 

Anders Gilberg, senior vice president of government affairs at the Medical Group Management Association, explains the political and patient care issues involved with ending Affordable Care Act subsidies.