News

Cybersecurity lock

The proposal, first announced by the Biden administration, was developed to improve patient data security. Those opposed argue that it would significantly increase costs and create a logistical nightmare for hospitals and health systems throughout the country.

radiology reporting EHR health record CDS AUC

Cardiologists often use the word “stable” when describing a heart failure patient who is recovering or showing signs of improvement. That word, however, could be giving patients a false sense of security—and it could even do harm to their long-term health. 

Thumbnail

Pediatric electrophysiology is an invaluable part of any healthcare system, and its importance is only growing as technologies continue to evolve. We spoke to Nicholas Von Bergen, MD, to learn more about where the specialty is headed in the years ahead.

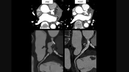
The use of intravascular lithotripsy (IVL) during percutaneous coronary intervention (PCI) is still safe and effective when patients present with calcified nodules (CNs), according to new long-term data published in EuroIntervention.[1] Researchers compared outcomes from patients with and without CNs, highlighting key similarities in stent expansion and luminal gain.

New two-year data confirm that the IVL technology developed by Shockwave Medical can be used to treat diabetic patients who require PCI.

Arnold Seto, MD, MPA, FACC, FSCAI, cath lab director, Long Beach VA Medical Center, professor of medicine at Charles Drew University, Society for Cardiovascular Angiography and Interventions (SCAI) treasurer and chair of the SCAI Advocacy Committee, explains the new CPT reimbursement codes being introduced in January 2026 and their impact on practice.

A variety of CPT code changes take effect in 2026, and many of them will make a direct impact on interventional cardiology. Arnold Seto, MD, spoke to Cardiovascular Business about these updates for a new video interview.

Mitral valve surgery can be especially challenging when patients present with a small mitral valve area. When it comes to M-TEER, however, treatment still appears to be both safe and effective.

Choon-Sik Jhun, MS, PhD, from Penn State

The device, currently just a prototype, could be the first of its kind to gain FDA approval.

Thumbnail

According to a new study of nearly 7,000 patients, type 1 and type 2 diabetes are both linked to significantly shorter life expectancies. The risk of sudden cardiac death appears to be highest for younger patients.

MiniMed 780G system integrated with Instinct sensors manufactured by Abbott.

Two of the world's leading healthcare companies have partnered on a new treatment option for patients with type 1 diabetes.

V-Wave has gained considerable attention or its Ventura Interatrial Shunt System, a small implantable device designed to reduce pressure on the left atrium and the lungs in patients with heart failure with reduced ejection fraction (HFrEF). The Ventura device includes a nitinol hourglass-shaped frame that anchors to the patient’s fossa ovalis in a way that prevents migration or embolization. It is implanted via an interventional procedure with fluoroscopy and echocardiography guidance.

All 15 members of the FDA's Circulatory System Devices Panel agreed that more data is required to confirm the new device from Johnson & Johnson MedTech is effective. Will the agency agree with these recommendations? Only time will tell.

heart doctors and surgeons working together. top cardiology hospitals in the United States.

SCAI and CRT have announced a new partnership focused on education, advocacy and research.

SavvyWire OpSens TAVR guidewire owned by Haemonetics

The sensor-guided device delivers continuous hemodynamic measurements and rapid left ventricular pacing during TAVR procedures. Back in 2023, it was at the heart of a $253 million acquisition. 

Around the web

One of the tracer’s more significant advantages is its extended half-life of 109 minutes—significantly longer than other currently available PET MPI imaging agents.

Researchers recently used advanced 4D flow MRI to track blood in a pulsating artificial heart, revealing dynamics that closely mirror those of a healthy human organ.

Congress needs to act soon to extend telemedicine services that were greatly expanded under COVID provisions, or they will expire by October. Anders Gilberg, senior vice president of government affairs at the Medical Group Management Association, explains concerns raised by doctors and lawmakers.